تبييض الأسنان ببيروكسيد الهيدروجين في دبي

تبييض الأسنان باستخدام ببيروكسيد الهيدروجين مبيض شائع للأسنان. إنه سائل صاف يساعد في القضاء على البقع وتبييض الأسنان الصفراء.
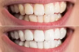
تلون الأسنان هو حالة شائعة وغير ضارة حيث تصبح الأسنان صفراء وتفقد لمعانها. يحدث تغير اللون عادة بسبب سوء نظافة الأسنان؛ استخدام الفرشاة بقوة وشرب الكثير من القهوة هما السببان الرئيسيان.

لحسن الحظ، هناك مجموعة متنوعة من المنتجات في السوق يمكنك استخدامها لعلاج مشكلة الأسنان هذه. ومع ذلك، إذا كان هدفك هو رؤية نتائج ملحوظة وسريعة، فقد يكون تبييض الأسنان باستخدام بيروكسيد الهيدروجين في دبي وأبو ظبي خيارًا أكثر مثالية بالنسبة لك.

في هذا الدليل، سنلقي نظرة أعمق على هذا النوع من تبييض الأسنان وسنبذل قصارى جهدنا لنثبت لك أنه إذا كنت تفكر في ذلك، فقد تتمكن من الحصول على ابتسامة مشرقة وجميلة إلى الأبد.

هل يوفر بيروكسيد الهيدروجين نتائج ؟

لا بأس إذا لم تكن على دراية بفوائد تبييض الأسنان ببيروكسيد الهيدروجين. سيساعدك هذا القسم على إزالة كل الشكوك التي قد تكون لديك. حتى الآن، أثبتت العديد من الدراسات أن بيروكسيد الهيدروجين له خصائص التبييض. قد يقوم عامل التبييض هذا بتبييض الأسنان وقتل البكتيريا في وقت واحد. وبصورة أدق، عندما يمر عبر السن، فإنه يكسر الجزيئات المعقدة، مما يؤدي إلى تقليلها في كل من العاج والمينا.

ملحوظة: قبل استخدام بيروكسيد الهيدروجين، عليك التأكد من عدم وجود أي أمراض خطيرة في الفم مثل التجاويف والسرطان والتهاب اللثة والتهاب دعامات السن وما إلى ذلك.

النتائج:

هل لديك أسنان صفراء؟ هل أنت مستعد لتحسين ابتسامتك؟ ضع في اعتبارك تبييض الأسنان باستخدام بيروكسيد الهيدروجين!
في المتوسط ​​، سوف يستغرق الأمر ما يقرب من 2 إلى 3 أيام من بيروكسيد الهيدروجين لتبييض الأسنان. الوقت يعتمد إلى حد كبير على لون الأسنان. كلما كانت الأسنان صفراء، كلما كان عليك الانتظار لفترة أطول لتقدير النتائج.

تبييض الأسنان ببيروكسيد الهيدروجين في دبي وأبو ظبي تبييض الأسنان ببيروكسيد الهيدروجين في دبي والشارقة تبييض الأسنان ببيروكسيد الهيدروجين في دبي

تبييض الأسنان باستخدام بيروكسيد الهيدروجين في دبي والإمارات العربية المتحدة تبييض الأسنان ببيروكسيد الهيدروجين تكلفة في دبي أفضل تبييض للأسنان ببيروكسيد الهيدروجين في دبي

ماذا تستلزم العملية؟

من الممكن صنع غسول للفم ببيروكسيد الهيدروجين في المنزل. ولكن هناك بعض المخاوف الأمنية التي يجب أخذها في الاعتبار. بشكل عام، إذا تم استخدام بيروكسيد الهيدروجين بشكل غير صحيح، فقد يحدث تلف في المينا أو تسوس الأسنان.

  • اخلط 2 أونصة من 3٪ بيروكسيد الهيدروجين وأونصة من الماء.
  • اغسل فمك بالمحلول يوميًا لمدة 3 – 4 دقائق قبل بصقه.

الفوائد:

فيما يلي 3 فوائد محتملة لتبييض الأسنان ببيروكسيد الهيدروجين في دبي:

  • يعزز الثقة.
  • يساعدك على استعادة الابتسامة الصحية والمشرقة.
  • طريقة سهلة وغير مؤلمة.

نصائح للحصول على أفضل النتائج :

عند استخدام بيروكسيد الهيدروجين لتبييض الأسنان، يمكنك اختيار المنتج بمفرده. ومع ذلك، لزيادة سرعة عملية التبييض، فإن الجمع بين نصائح صحة الفم هو دائمًا فكرة أفضل – فالعادات الفموية الجيدة تجعل الإجراء أكثر فعالية.

  • تجنب الأطعمة الغنية بحمض التانيك: يمكن أن يتسبب الشاي والنبيذ والعنب والفراولة والتفاح وما إلى ذلك في إتلاف مينا الأسنان والتسبب في تصبغ طويل الأمد.
  • توقف عن التدخين: يعتبر التدخين من الأسباب الرئيسية لتغير لون الأسنان لذا يرجى تجنبه.
  • لا تستخدم الفلورايد بشكل مفرط: يؤدي تعريض الأسنان البالغة لفرط الفلورايد إلى نقص المعادن في مينا الأسنان.
  • الامتناع عن استخدام الفرشاة بقوة وفي كثير من الأحيان: يمكن أن تتسبب ممارسات تنظيف الأسنان السيئة في تغير اللون وأمراض اللثة وحتى تسوس الأسنان.

التكلفة:

يمكن أن يتراوح متوسط ​​تكلفة تبييض الأسنان باستخدام بيروكسيد الهيدروجين في دبي بين 200 درهم إماراتي و400 درهم إماراتي. وتكاليف تبييض الأسنان الاحترافي أعلى بسبب الجهد والوقت المطلوبين.

البدائل:

يعتبر بيروكسيد الهيدروجين من أفضل الطرق عندما يتعلق الأمر بتبييض الأسنان. لكن هذا لا يعني أنه الأفضل لاحتياجات أسنانك.

أفضل بدائل بيروكسيد الهيدروجين 2021 هي:

  • شرائط التبييض
  • القوالب والمواد الهلامية
  • تبييض الأسنان بالزوم
  • معجون أسنان بالفلورايد

النظرة العامة

  • عتبر تبييض الأسنان أحد الفوائد الرئيسية لاستخدام بيروكسيد الهيدروجين.
  • إنه عامل طبيعي لإزالة تلون الأسنان الذي يمكن أن يساعدك في استعادة أسنانك البيضاء اللؤلؤية.
  • بشكل أكثر دقة، فهي طريقة فعالة للغاية لمعالجة تلون الأسنان الناجم عن سوء صحة الأسنان والوراثة والعمر والتدخين.

لماذا اختيار عيادة انفيلد لتكون داعمك:

مجموعة كاملة من خدمات التجميل في متناول يدك. نحن خبراء في إجراءات طب الأسنان ونسعى جاهدين لتقديم رعاية ذات نوعية جيدة للمرضى الذين يعانون من مشاكل الأسنان المختلفة. لا يقتصر تعزيز الذات على ما نقوم به فحسب، بل إنه في الواقع ما نحب القيام به – ونحقق نتائج رائعة. هدفنا الكبير في الحياة هو مساعدة الناس على تحسين مظهرهم وابتساماتهم وصورهم الذاتية.

احجز موعد:

لمعرفة المزيد عن تبييض الأسنان ببيروكسيد الهيدروجين في دبي وأبوظبي في عيادة ديناميك، يرجى الاتصال عيادة ديناميكية لطب الأسنان التجميلي. لحجز موعد، تحتاج إلى ملء النموذج القصير.